治療費:33万円~77万円(税込)
月額3,500円〜8,300円も可
被せ物:9.35万円(税込)
詰め物:4.4万円(税込)



「口元」の美しさ
×
「健康的」な美しさ
当院は削って詰める従来型の歯医者ではありません。
「美の創造」と「予防」の2つを専門に行う医院です。
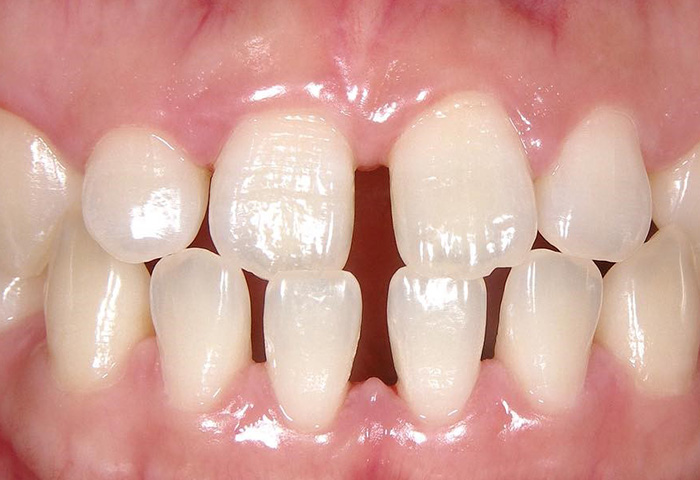
削って詰めてを繰り返すと、徐々に審美性が損なわれ、
最終的には、歯がダメになります。
つまり、従来型の歯科医療は誰も幸せになりません。
しかし、歯を守る「予防」、歯を美しくする「美の創造」は
皆を幸せにします。
「悪くなる」お手伝いではなく、
「幸せ」になるお手伝いをさせてください。


矯正歯科
×
セラミック治療
×
ホワイトニング
世田谷・成城学園前駅1分のホワイトエッセンス成城クリニックで行っている施術内容をご紹介します。矯正歯科治療(マウスピース型矯正/ワイヤー矯正(表側・裏側))、白いセラミックの被せ物・詰め物による審美的な治療、歯のホワイトニング(ホーム・オフィス)、ダイレクトボンディング、ガミースマイル治療、デンタルエステ(クリーニング、リップエステ等)。
「インビザライン」
33万円~77万円(税込)
月額3,500円〜8,300円も可

「表側/裏側」
表側矯正 77万円(税込)
裏側矯正 121万円(税込)

ホワイトエッセンス成城クリニック(世田谷/成城学園前駅1分)の患者さんから評価の高い特徴をご紹介します。治療時の痛みを最小限にする取り組み、短期集中治療、完全個室の診療室とカウンセリングルーム、クレジットやデンタルローン対応(分割払い)、歯科技工士の立ち合いサービス、精密機器(CT・光学印象)。精度の高い矯正歯科治療(マウスピース型矯正・ワイヤー矯正)、セラミック治療(前歯を白く等)を実施する歯科医院。


表面麻酔や極細の注射針を活用し痛みを最小限に抑えます。

様々な工夫で治療期間や来院回数を短縮させます。

診療室やカウンセリングルームがすべて「個室」になっています。

デンタルローンやクレジットカードの取り扱いがあります。

セラミック治療の専門家である歯科技工士の出張サービスでクオリティ向上。

CTや光学印象機器(iTero)などを活用し、治療精度・質を向上させます。

当院には様々な悩み、理想をお持ちの方が来院されます。
どの方も「綺麗になりたい」という共通の想いをもって。
その想いに、私たちは真剣に向き合います。
「綺麗になる」を達成させることは、
プロとして当然のことです。
私たちは、その先を見据えています。
それは治療の先にある、「よりよい人生をサポートすること」。
このような想いで、日々、仕事に向き合っています。
