セラミック治療

ご予約・お問い合わせ 0120-461-834 完全予約制

〒157-0066 東京都世田谷区成城6-8-6 サラブライト成城ビル5F

24時間WEB予約
キービジュアル

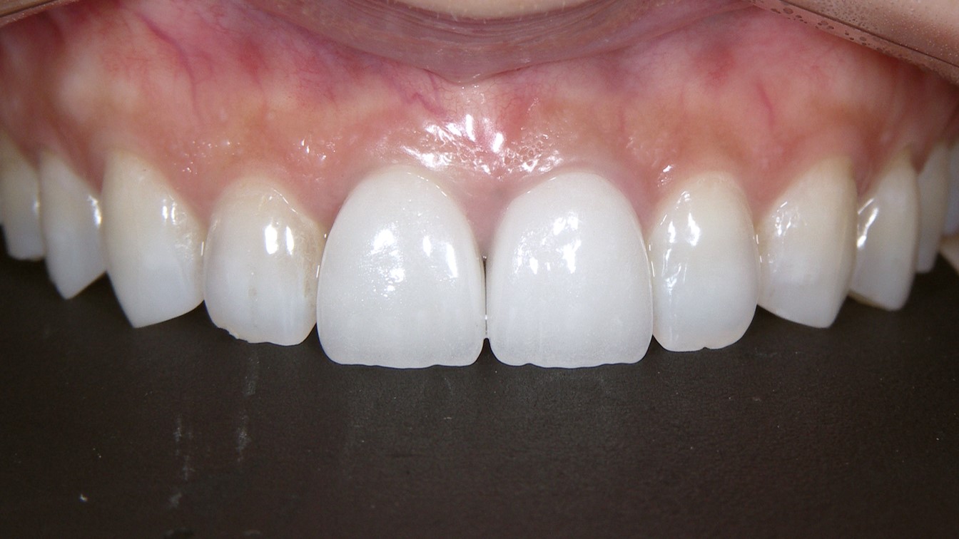
セラミックの被せ物で
歯並び」+「歯の色/形」を整えられます

1本4.4万円(税込)

  • 2~3回の治療で完了
  • 大きな「装置」は不使用
  • 歯並びだけでなく「歯の色・形」も変えられます
  • 「歯の神経」は抜きません
  • 3年/10年保証
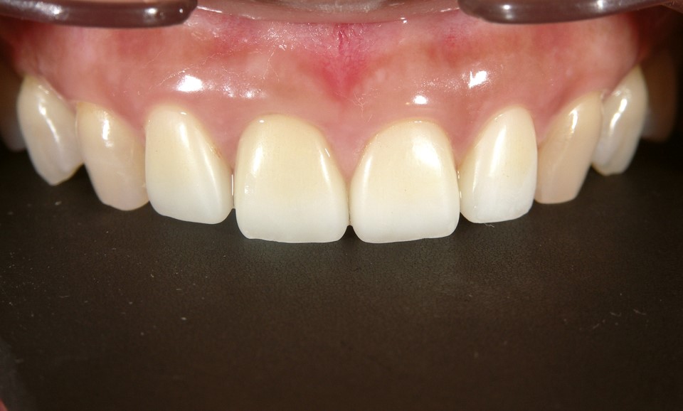
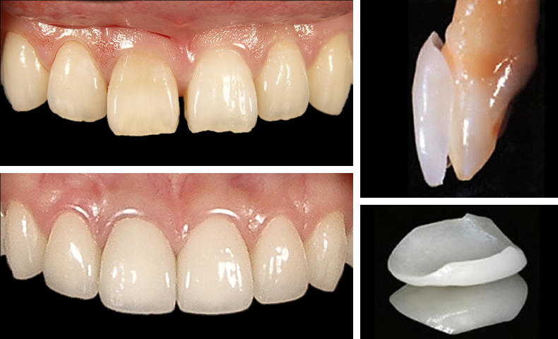
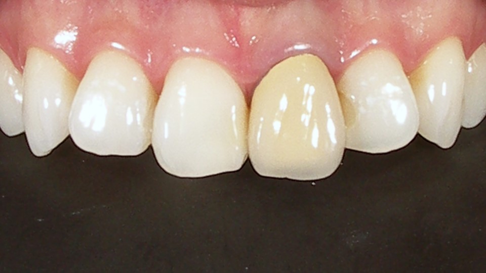
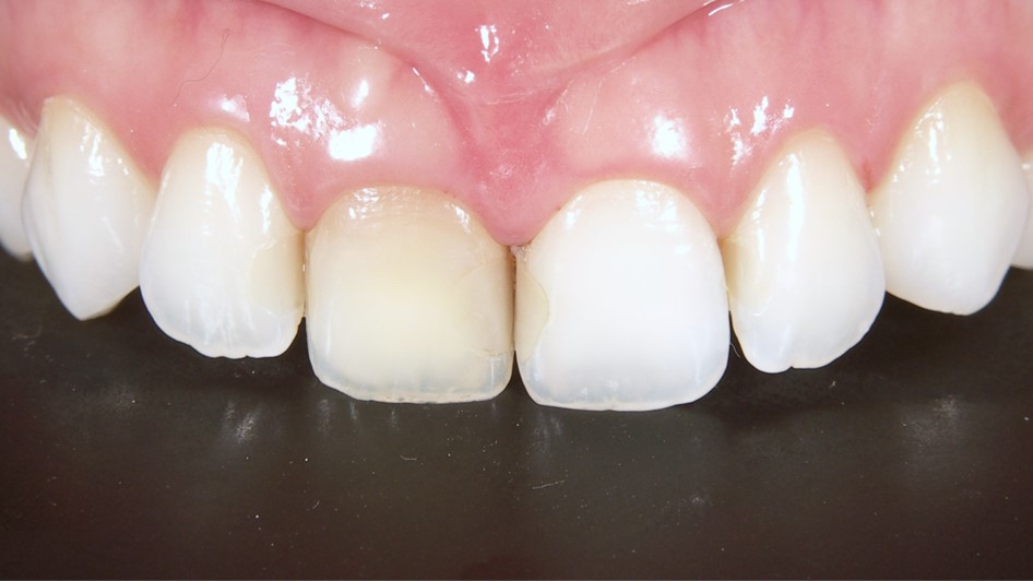
  • 治療前
  • 治療後
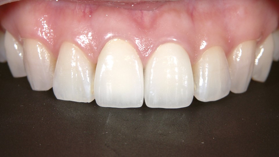
  • 治療前
  • 治療後
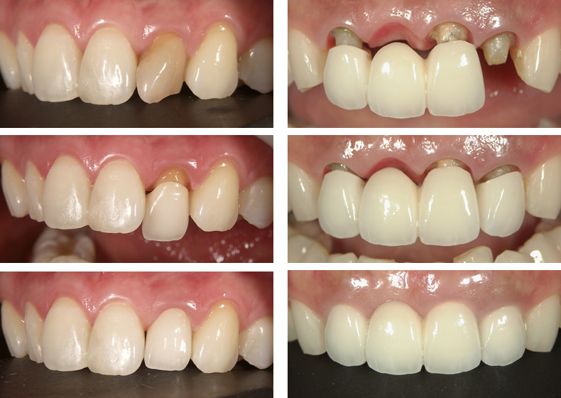
  • 治療前
  • 治療後
  • 治療前
  • 治療後
  • 治療前
  • 治療後
  • 治療前
  • 治療後

2~3回の治療で「歯並び」を整えたい方へ

ご存知でしょうか?
歯並びを整える方法は「矯正治療」だけではありません。
大きく2つの方法があります。
1つは「矯正歯科治療」なのですが、もう1つは「セラミックの被せ物」を利用した治療です。
それぞれの特徴を以下にまとめました。

矯正治療とセラミック治療の比較

治療期間

治療法

保証の有無

その他

矯正治療

画像

2~3年

矯正装置

なし

噛み合わせの調整

セラミック治療

画像

2~3回

セラミックの被せ物

10年

色/形の調整
噛み合わせの調整

矯正治療とセラミック治療のメリット/デメリット

メリット

デメリット

矯正治療

画像

歯を削らずに治療できる

治療後、リテーナーをつけていないと後戻りするリスクあり
治療中の痛みや装置の煩わしさあり

セラミック治療

画像

治療期間が短い
治療費が安い
治療中の継続的な痛みがない

健康な歯を削る必要がある

矯正治療」がよいか、「セラミック治療」がよいか、決めるのは患者さんです。患者さんがどの治療の、どの部分に「価値」を感じるかによるかと思います。詳しくご説明いたしますので、どんな些細なことでもご相談ください。

次節より、セラミック治療における特徴を具体的にお伝えしていきます。

特徴1 歯並びだけでなく「歯の色/形」も調整できます!

セラミック治療」と「矯正治療」の大きな違いは、セラミック治療は、歯の色や形も理想形に近づけられることです。
どんな色がお好みか?どんな形が理想か?ご要望をお伝えください。可能な限り、患者さんのご希望に近づけます。

歯の「」が与える印象をご紹介しますので、参考になさってください。

ナチュラル型

画像

このタイプは「日本人に多いタイプ」で、最も無難で自然な歯並びです。前歯の先端が直線状にある歯とない歯が混在しています。口を小さく見せる効果もあり、若く見えます。

ストレート型

画像

このタイプは「白人に多いタイプ」です。前の先端がすべて直線上にあります。くちもとがくっきりと強調されます。

クローズ型

画像

このタイプは「日本人の女優に多いタイプ」です。前歯の先端はすべて直線上にありますが、歯と歯に多少の重なりがあるこが特徴です。女性的なイメージを強調したい方にお勧めです。

スマイルライン型

画像

このタイプは「ハリウッドスマイル」と呼ばれるもので、世界的に好まれる歯並びです。下唇のラインと前歯のラインが平行になっているのが特徴です。

このように、歯の形の微妙な違いによって、印象が変わってしまいます。当院では、患者さんのお話を伺いながら、ご希望や個性を把握して、患者さんが素敵に見えて、ご満足いただける歯を作製してまいります。

特徴2 3年/10年間「保証」いたします

画像

保証は素材により異なりますが3年保証10年保証をご用意しています。治療後に割れたり、欠けたりしてしまった場合、1保証期間内であれば、無償で再治療します。ただし、保証には一定の条件がありますので、詳細は料金表をご確認ください。

特徴3 治療前に、費用/期間/完成形のイメージを共有!

治療前に「費用」「治療期間」についてしっかりお伝えします。また、審美的要素が強い治療ですので、患者さんに「完成イメージ」を各プロセスでしっかり共有し、ご確認していただきます。具体的には以下のステップに沿って行います。

「治療前」のカウンセリング

画像

治療前に、患者さんとしっかり丁寧にお話を伺います。お互いのイメージを共有し、イメージが合ったところで治療を始めます。模型や症例をお見せしながら、漠然としたイメージを徐々に具体的に固めていきます。

「セットアップ模型」によるイメージのすり合わせ

画像

治療を始める前、初期段階でイメージをすり合わせます。患者さんの歯型から「模型」を作製、どのような歯の形態にしていくのかをすり合わせていきます。

「仮歯」によるイメージのすり合わせ

画像

特に高い審美性が求められる「前歯」の治療の場合、患者さんのお口の模型をベースに「完成イメージ」をワックスで製作し、イメージのすり合わせを行います。(全ケースで実施するものではありません)

特徴4 歯の神経は「抜かず」治療します!

画像

セラミック治療の場合、「歯を削る」ことになります。神経のある歯を処置する場合、削る量が多くなってしまうと、神経に炎症が起こり、歯のしみや痛みがでることがあります。そのため、通常は「歯の神経を除去」してから治療を進めることが多いです。
しかし、当院は「神経を除去」いたしません。
その理由は、丁寧に治療を行うことで、「しみや痛み」が出ない治療が可能だからです。
加えて、神経を除去すると、歯の寿命が減るからです。神経は歯に栄養を届ける役割があり、神経を抜くと、歯に栄養が行かないことになります。だから、歯がもろく、欠けやすくなるのです。
それだけではありません。
細菌への「抵抗力」も落ちます。虫歯が進行しやすくなります。
結果、抜歯へとなってしまう可能性も高まります。つまりは、歯の神経を抜くと、寿命が縮まってしまいます。神経は歯にとって非常に重要な役割を果たしているものです。
せっかく、お金と時間を使って治療しても、虫歯になって歯を抜くことになっては、意味がありません。当院が「神経はできる限り、抜かない」のはそのためです。

当院の主な「セラミック治療」をご紹介します

セラミッククラウン法・ブリッジ法

画像

クラウン法」とは、虫歯などで歯を大きく削った場合や歯がもろくなった場合などに「歯質の強化」「歯の形態回復」が目的で行われます。360°全体的に歯を覆うタイプの治療で、いわゆる「差し歯」の現代版です。「ブラウン法」とはクラウンを連結したものです。入れ歯とは異なり、目立たず、食事もふつうに行えます。

ラミネートべニア法

画像

歯の表面を薄く削り、「つけ爪」のような形の「極薄セラミック」を装着する方法です。ホワイトニングやクリーニングでは、改善できない歯の変色や歯の形、歯並びを改善できます。最大のメリットは「削る量を少なく」できることできます。

セラミックインレー法

画像

奥歯の虫歯治療を行った際、削った部分の歯型を取り、詰め物を作って接着する方法です。昔詰めた「銀歯」も、白く自然な仕上がりにできます。

ダイレクトボンディング法

画像

歯が欠けた部分、虫歯で削った部分に直接、特殊な樹脂を埋め込む治療法です。歯を削る量は最小限で済みます。ある程度、歯の形も改善できます。古く変色、劣化した詰め物も見違えるほどキレイになります。「保険診療」に使用する材料とは全く異なり、長期的な耐久性も備えています。

セラミック治療の流れ

STEP1相談・カウンセリング

まずはご要望やご質問を伺い、それぞれの治療を複合した何パターンかの治療法をご提案いたします。費用や治療期間、治療方法などについて、歯科医師から説明します。不明点はどんなことでもご質問ください。一つ一つ丁寧にお答えします。

画像"

STEP2診察・精密検査

治療開始前に、現在の「歯の状況」を確認いたします。レントゲンやデジタル画像等で、虫歯の有無も含めて、様々な角度から診査診断を行い、治療前準備を行います。

画像

STEP3治療開始

治療法によっては、即日で終わる場合もありますが、だいたい「数回」の来院が必要となります。セラミック治療の場合も、「痛みに配慮」して細心の注意を払います。治療期間中は、きれいな仮歯もその場で作成しますので、歯が無いままでご帰宅いただくことはありませんので、ご安心ください。

画像"

STEP4治療終了

仕上がり」を確認していただきます。ご要望がある場合は、製作を担当した歯科技工士も「立ち合い」ます。いろいろご相談ください。調整や修正は何度でも「無料」で行います。ご満足いただけましたら終了となります。

画像"

STEP5メンテナンス(お手入れ)

治療が終わりましたら、ご自宅での「ホームケア」をレクチャーします。きれいな状態をより長持ちさせるためにも「定期的な」歯のプロフェッショナルケアとチェックをお願いしております。セラミック製品は「3年間10年間」の「無料保証」がつきます。万が一のことがありましたら、すぐにご連絡ください。

画像"

セラミック治療に関する「素朴な疑問」にお答えします!

クラウン法とブリッジ法の違いは何ですか?

「クラウン法」とは、1本の歯に被せる作り物の歯(差し歯)のことです。「ブリッジ法」とは、歯と歯の間にある歯が失われた時に、両隣の歯を連結して欠損部にダミーの歯を設置するものです。

前歯のセラミック4本の治療期間は、どのくらいかかりますか?治療費はどのくらいかかりますか?

治療期間は「初診時の状態」により大きく変化します。歯周病や噛み合わせの問題がなく、前歯4本の神経を残すことが可能な場合、4~5回の治療で終えることができます。その場合、予約のタイミングにもよりますが、2ヶ月前後が目安となります。治療費は、スタンダードなセラミックであれば、1歯あたり10万円が目安となります。ただし、歯周病であったり、神経を取り除く必要があったり、すでに神経が取り除かれていたりする場合には、診療回数・期間、治療費は目安よりも大きいものとなります。

神経がない歯が変色してしまいました。この場合もセラミックにできますか?

神経を取り除いた歯こそ、残された歯を守るため、または変色による「審美障害」を防ぐため、「セラミッククラウン」を装着することが推奨されます。但し、根の尖端に病変がある場合や痛みなどの症状がある場合は「根管治療」を受けていただく必要が出てきます。

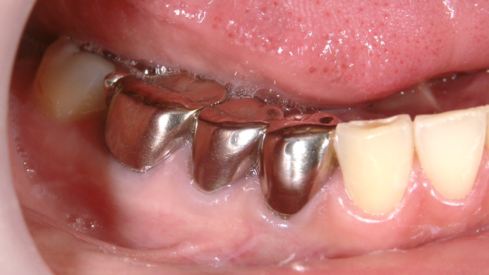
銀歯を目立たなくすることはできますか?

可能です。ほとんどの場合、銀歯を外し、セラミックのクラウンかインレーを装着することで、目立たなくすることができます。状態によっては様々な処置が必要となることがありますので、詳しくは担当医にご相談ください。

前歯の隙間が気になるのですが、セラミック治療と矯正治療のどちらが良いでしょうか?

どちらが良いかは人それぞれ異なります。歯を削りたくない場合、矯正治療を選択することになり、時間をかけたくない場合、セラミッククラウンを被せることになります。矯正治療を選択した場合でも、すきっ歯の部分だけの矯正治療で済む場合もあれば、全顎矯正となることもあります。詳しくは担当医にご相談ください。

セラミックの歯の「寿命」はどれくらいでしょうか?

セラミックは安定した環境であれば「半永久的に」使用可能です。また嗜好品によって着色してしまうことがありますが、変色することはありません。しかし、セラミックという材質そのものが「ガラスや陶器」のような素材のため、欠ける可能性があります。一般的にセラミックが壊れるというよりも、セラミックを支える歯が「虫歯」や「歯周病」により再治療が必要となるケースがほとんどです。定期的なメンテナンスやご自宅での歯磨きなどのケアによりセラミックをより長期にわたり、ご使用いただけます。

初診「個別」相談へのご案内

当院では、患者さんが抱えていらっしゃるお口のお悩みや疑問・不安などにお応えする機会を設けております。どんなことでも構いませんので、私たちにお話ししていただけたらと思います。
ご興味がある方は下記からお問い合わせください。